Gastrointestinal medical image database select language
japaneseenglishchinesekoreaspanish

Contents

Posted by: Tokyo Pref., Centro Nacional de curaciones de Cáncer, Hospital Central y Centro Kyusyu de Curaciones de Cáncerc
Caso TIC(Conferencia TeleImágen de varios puntos del Tubo Digestivo en conjunto)
fecha de registro 2000/03/03
Number of image 19
Género femenino
Edad 50-54

ID:1447
cambio del color de fondo
[Image-ID:1447]
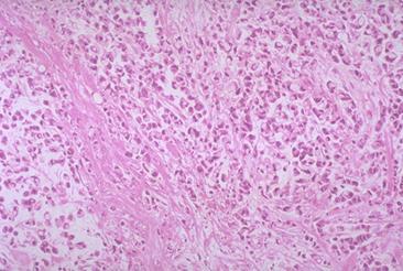
clasificación del pacienteTumor Epitelial Maligno/Cáncer a células en Sello de Anillo
parte(separada por órganos)colon/recto
método de exámenMicro
clasificación ectoscópica de tumoresTipo 3(Tipo ulcerado de bordes infiltrados)/
diámetro mayor del tumor35 - 40
grado de penetracións(a)
múltiples tumores(en un mismo órgano)ausente
múltiples tumores(en varios órganos)ausente



TOP