about this MIDB
NEWS
Lista de Enfermedades
TOP
>
Lista de Enfermedade...
>
Tumores aparte del C...
>
Tumores del Estómago...
>
Tumor linfático Li...
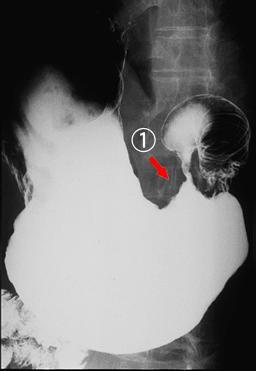
"Linfoma Maligno Precoz" central al antro, que mostró formación similar a Cáncer Avanzado de Estómago
Posted by:
Tokyo Pref., Centro Nacional de curaciones de Cáncer, Hospital Central y Centro Kyusyu de Curaciones de Cáncerc
fecha de registro
2000/05/26
Number of image
19
Género
femenino
Edad
65-69
cambio del color de fondo
[Image-ID:1638]
Now translating.
clasificación del paciente
Tumor Maligno del Sistema Linfático/Linfoma Maligno
parte(separada por órganos)
estómago(región)/mas de dos
método de exámen
Rayos X
diámetro mayor del tumor
40 -
grado de penetración
sm
múltiples tumores(en un mismo órgano)
ausente
múltiples tumores(en varios órganos)
ausente
TOP