about this MIDB
NEWS
Lista de Enfermedades
TOP
>
Lista de Enfermedade...
>
Tumores aparte del C...
>
Tumores del Colon ap...
>
Tumor de tipo Epitel...
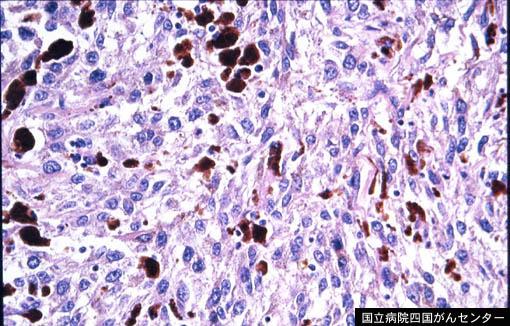
Melanoma Maligno de Recto que mostró hallazgos característicos en la endoscopía (Caso del Centro de Cáncer del Hospital Nacional de Shikoku)
Posted by:
Ehime Pref., Centro Shikoku de Curaciones de Cáncer
Caso del sistema politíco.
Caso TIC(Conferencia TeleImágen de varios puntos del Tubo Digestivo en conjunto)
fecha de registro
2001/09/06
Number of image
26
Género
masculino
Edad
75-79
cambio del color de fondo
[Image-ID:2550]
Now translating.
clasificación del paciente
Melanoma Maligno/
parte(separada por órganos)
colon/recto
método de exámen
Micro
diámetro mayor del tumor
40 -
grado de penetración
s(a)
múltiples tumores(en un mismo órgano)
ausente
múltiples tumores(en varios órganos)
ausente
TOP