Gastrointestinal medical image database select language
japaneseenglishchinesekoreaspanish

Contents

Posted by: Nagasaki Pref., Centro Nagasaki de Atenciones Médicas
Caso del sistema politíco.
fecha de registro 2002/01/25
Number of image 16
Género masculino
Edad 10-14

ID:2965
cambio del color de fondo
[Image-ID:2965]
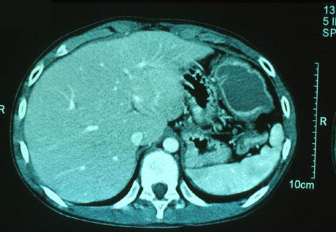
clasificación del pacienteTumor Epitelial Maligno/Adenocarcinoma
parte(separada por órganos)colon/transverso
método de exámenTAC
clasificación ectoscópica de tumoresTipo 2(Tipo ulcerado de bordes claros)/
diámetro mayor del tumor30 - 34
grado de penetraciónss(a1)
múltiples tumores(en un mismo órgano)ausente
múltiples tumores(en varios órganos)ausente



TOP