Gastrointestinal medical image database select language
japaneseenglishchinesekoreaspanish

Contents

Posted by: Tokyo Pref., Centro Nacional de curaciones de Cáncer, Hospital Central y Centro Kyusyu de Curaciones de Cáncerc
Caso del sistema politíco.
fecha de registro 2002/03/12
Number of image 7
Género femenino
Edad 55-59

ID:3234
cambio del color de fondo
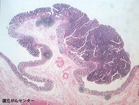
[Image-ID:3234]
clasificación del pacienteTumor Epitelial Maligno/Adenocarcinoma
parte(separada por órganos)colon/recto
método de exámenMicro
clasificación ectoscópica de tumoresTipo 0(tipo superficial)/Tipo I(Isp)
diámetro mayor del tumor20 - 24
grado de penetraciónsm
múltiples tumores(en un mismo órgano)ausente
múltiples tumores(en varios órganos)ausente



TOP