about this MIDB
NEWS
Lista de Enfermedades
TOP
>
Lista de Enfermedade...
>
Enfermedades - Lesio...
>
Lesión - Enfermedad ...
>
Enfermedad Inflamato...
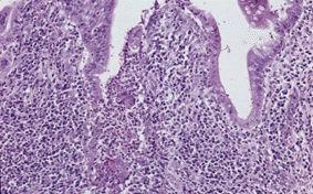
Caso de resección de patología gástrica de tipo inflamatoria que se presentó con hallazgos similares al cáncer avanzado
Posted by:
Fukuoka Pref., Centro Kyushu de Curaciones de Cáncer
Caso del sistema politíco.
Caso TIC(Conferencia TeleImágen de varios puntos del Tubo Digestivo en conjunto)
fecha de registro
1999/01/01
Number of image
31
Género
femenino
Edad
65-69
cambio del color de fondo
[Image-ID:351]
clasificación del paciente
Enfermedad Inflamatoria - Ulcerativa/otros
parte(separada por órganos)
estómago(región)/mas de dos
método de exámen
Micro
TOP