about this MIDB
NEWS
Lista de Enfermedades
TOP
>
Lista de Enfermedade...
>
Tumor Metastásico
>
Tumor Metastásico de...
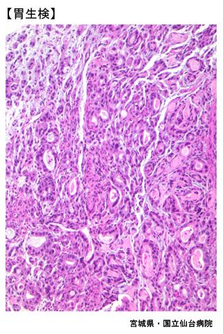
Múltiples Metástasis de Cáncer del Intestino Delgado y Grueso que mostraron forma similar a IIa+IIc (Caso presentado por Dr. Yokota del Hospital Nacional de Sendai, prefectura de Miyagui)
Posted by:
Miyagi Pref., Sendai Medical Center (Dr.横田)
Caso del sistema politíco.
fecha de registro
2002/10/08
Number of image
25
Género
masculino
Edad
70-74
cambio del color de fondo
[Image-ID:3964]
clasificación del paciente
Tumor Epitelial Maligno/Adenocarcinoma
parte(separada por órganos)
estómago(región)/mas de dos
método de exámen
Micro
TOP