about this MIDB
NEWS
Lista de Enfermedades
TOP
>
Lista de Enfermedade...
>
Tumor Metastásico
>
Tumor Metastásico de...
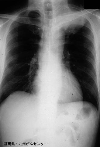
Tumor metastásico del Intestino Delgado a partir de Cáncer a células gigantes del Pulmón descubierto por melena como síntoma principal (Caso presentado por el Centro del Cáncer del Hospital Nacional de Kyushu)
Posted by:
Fukuoka Pref., Centro Kyushu de Curaciones de Cáncer
Caso del sistema politíco.
Caso CPC(Conferencia Clínico-Patológica del Centro del Cáncer de Kyushu)
fecha de registro
2002/10/21
Number of image
25
Género
masculino
Edad
50-54
cambio del color de fondo
[Image-ID:3997]
clasificación del paciente
Tumor de tipo Metastásico/
parte(separada por órganos)
mas de dos órganos/
método de exámen
Rayos X
diámetro mayor del tumor
40 -
TOP