Gastrointestinal medical image database select language
japaneseenglishchinesekoreaspanish

Contents

fecha de registro 2002/10/31
Number of image 17
Género masculino
Edad 65-69

ID:4055
cambio del color de fondo
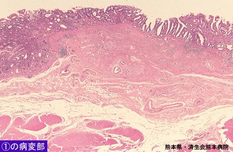
[Image-ID:4055]
Now translating.
clasificación del pacienteTumor Epitelial Maligno/Adenocarcinoma
parte(separada por órganos)estómago(región)/cuerpo
método de exámenMicro
clasificación ectoscópica de tumoresTipo 0(tipo superficial)/Tipo IIc(IIc)
diámetro mayor del tumor1 - 9
grado de penetraciónsm
múltiples tumores(en un mismo órgano)ausente
múltiples tumores(en varios órganos)ausente



TOP