about this MIDB
NEWS
Lista de Enfermedades
TOP
>
Lista de Enfermedade...
>
Tumores aparte del C...
>
Tumores del Esófago ...
>
Tumor epitelial mali...
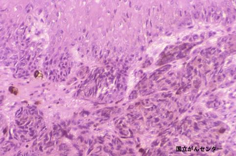
Múltiple Melanoma Maligno de Esófago acompañado de metástasis intramural
Posted by:
Tokyo Pref., Centro Nacional de curaciones de Cáncer, Hospital Central y Centro Kyusyu de Curaciones de Cáncerc
Caso del sistema politíco.
fecha de registro
2002/12/03
Number of image
30
Género
masculino
Edad
45-49
Misc
1980-1984's case
cambio del color de fondo
[Image-ID:4157]
clasificación del paciente
Melanoma Maligno/
parte(separada por órganos)
esófago/inferior
método de exámen
Micro
clasificación ectoscópica de tumores
Tipo 0(tipo superficial)/Tipo I(Isp)
diámetro mayor del tumor
20 - 24
grado de penetración
sm
múltiples tumores(en un mismo órgano)
presente(simultáneo)
TOP