Gastrointestinal medical image database select language
japaneseenglishchinesekoreaspanish

Contents

fecha de registro 2003/03/06
Number of image 18
Género masculino
Edad 55-59

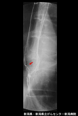
ID:4664
cambio del color de fondo
[Image-ID:4664]
clasificación del pacienteTumor Epitelial Maligno/Adenocarcinoma
parte(separada por órganos)estómago(región)/cardias
método de exámenRayos X
clasificación ectoscópica de tumoresTipo 0(tipo superficial)/Tipo IIa(IIa)
diámetro mayor del tumor10 - 14
grado de penetraciónsm
múltiples tumores(en un mismo órgano)ausente
múltiples tumores(en varios órganos)ausente



TOP