Gastrointestinal medical image database select language
japaneseenglishchinesekoreaspanish

Contents

fecha de registro 2003/07/10
Number of image 21
Género masculino
Edad 75-79

ID:5331
cambio del color de fondo
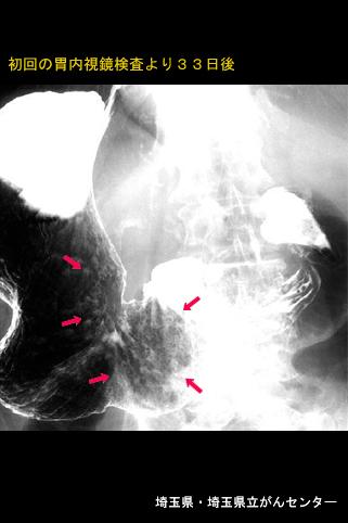
[Image-ID:5331]
clasificación del pacienteTumor Epitelial Maligno/Adenocarcinoma
parte(separada por órganos)estómago(región)/mas de dos
método de exámenRayos X
clasificación ectoscópica de tumoresTipo 0(tipo superficial)/Tipo IIc(IIc+IIa)
diámetro mayor del tumor40 -
grado de penetraciónsm
múltiples tumores(en un mismo órgano)presente(simultáneo)
múltiples tumores(en varios órganos)ausente



TOP