about this MIDB
NEWS
Lista de Enfermedades
TOP
>
Lista de Enfermedade...
>
Cáncer Precoz del Tu...
>
Cáncer Precoz del Es...
>
Cáncer Precoz de Est...
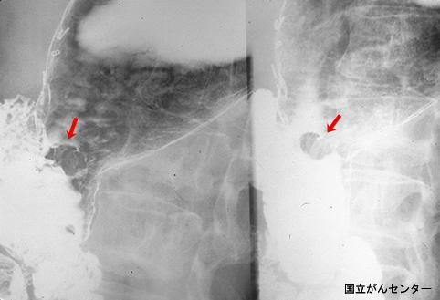
Cancer Precoz de Estómago de tipo Protruído tipo I aparecido en el residual
Posted by:
Tokyo Pref., Centro Nacional de curaciones de Cáncer, Hospital Central y Centro Kyusyu de Curaciones de Cáncerc
fecha de registro
2003/11/06
Number of image
9
Género
femenino
Edad
60-64
Misc
1980-1984's case
cambio del color de fondo
[Image-ID:6132]
clasificación del paciente
Tumor Epitelial Maligno/Adenocarcinoma
parte(separada por órganos)
estómago(región)/cuerpo
método de exámen
Rayos X
clasificación ectoscópica de tumores
Tipo 0(tipo superficial)/Tipo I(I)
diámetro mayor del tumor
15 - 19
grado de penetración
m
TOP