about this MIDB
NEWS
Lista de Enfermedades
TOP
>
Lista de Enfermedade...
>
Enfermedades - Lesio...
>
Lesión - Enfermedad...
>
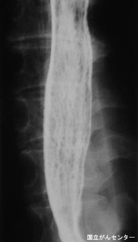
Esofagitis Candidiás...
Candidiasis de Esófago originario de cáncer avanzado del estómago
Posted by:
Tokyo Pref., Centro Nacional de curaciones de Cáncer, Hospital Central y Centro Kyusyu de Curaciones de Cáncerc
fecha de registro
2003/12/25
Number of image
21
Género
masculino
Edad
65-69
cambio del color de fondo
[Image-ID:6495]
clasificación del paciente
Enfermedad Inflamatoria - Ulcerativa/Esofagitis moniliásica
parte(separada por órganos)
esófago/mas de dos
método de exámen
Rayos X
diámetro mayor del tumor
1 - 9
TOP