about this MIDB
NEWS
Lista de Enfermedades
TOP
>
Lista de Enfermedade...
>
Lesión que asemeja t...
>
Lesión similar a tum...
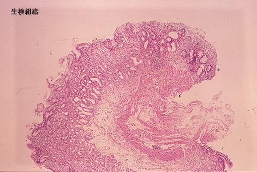
Mucosa Gástrica que se evidenció en Recto.
Posted by:
Tokyo Pref., Hospital Central del Centro Nacional del Cáncer
fecha de registro
2004/10/28
Number of image
21
Género
masculino
Edad
-
cambio del color de fondo
[Image-ID:7693]
clasificación del paciente
Lesión que asemeja tumoración/Mucosa aberrante
parte(separada por órganos)
colon/recto
método de exámen
Micro
diámetro mayor del tumor
10 - 14
TOP