about this MIDB
NEWS
Lista de Enfermedades
TOP
>
Lista de Enfermedade...
>
Lesión que asemeja t...
>
Lesión semejante a T...
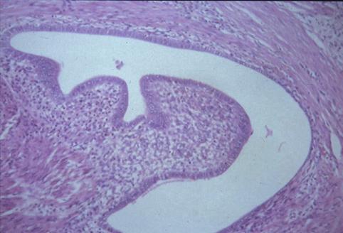
Endometriosis causado por canal intestinal, que fue operado por motivo constricción de Colon Signoides.
Posted by:
Tokyo Pref., Centro Nacional de curaciones de Cáncer, Hospital Central y Centro Kyusyu de Curaciones de Cáncerc
Caso del sistema politíco.
fecha de registro
2004/12/21
Number of image
23
Género
femenino
Edad
45-49
cambio del color de fondo
[Image-ID:7830]
Now translating.
clasificación del paciente
Lesión que asemeja tumoración/Mucosa aberrante
parte(separada por órganos)
colon/sigmoides
método de exámen
Micro
diámetro mayor del tumor
40 -
múltiples tumores(en un mismo órgano)
ausente
múltiples tumores(en varios órganos)
ausente
TOP