Gastrointestinal medical image database select language
japaneseenglishchinesekoreaspanish

Contents

Posted by: Fukuoka Pref., Centro Kyushu de Curaciones de Cáncer
Caso del sistema politíco.
fecha de registro 2005/01/04
Number of image 14
Género femenino
Edad 45-49

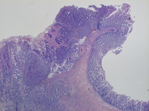
ID:7859
cambio del color de fondo
[Image-ID:7859]
clasificación del pacienteTumor Epitelial Maligno/Adenocarcinoma
parte(separada por órganos)colon/transverso
método de exámenMicro
clasificación ectoscópica de tumoresTipo 3(Tipo ulcerado de bordes infiltrados)/
diámetro mayor del tumor40 -
grado de penetraciónss(a1)
múltiples tumores(en un mismo órgano)ausente
múltiples tumores(en varios órganos)ausente



TOP