Gastrointestinal medical image database select language
japaneseenglishchinesekoreaspanish

Contents

Posted by: Fukuoka Pref., Centro Kyushu de Curaciones de Cáncer
fecha de registro 2005/02/03
Number of image 20
Género femenino
Edad 80-84

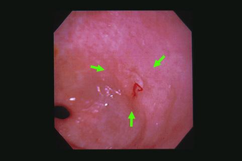
ID:7927
cambio del color de fondo
[Image-ID:7927]
clasificación del pacienteTumor Epitelial Maligno/Adenocarcinoma
parte(separada por órganos)estómago(región)/antro
método de exámenEndoscopia
clasificación ectoscópica de tumoresTipo 0(tipo superficial)/Tipo IIc(IIc)
diámetro mayor del tumor1 - 9
grado de penetraciónm
múltiples tumores(en un mismo órgano)ausente
múltiples tumores(en varios órganos)ausente



TOP