Gastrointestinal medical image database select language
japaneseenglishchinesekoreaspanish

Contents

Posted by: Tokyo Pref., Centro Nacional de curaciones de Cáncer, Hospital Central y Centro Kyusyu de Curaciones de Cáncerc
Caso del sistema politíco.
Caso TIC(Conferencia TeleImágen de varios puntos del Tubo Digestivo en conjunto)
fecha de registro 2005/04/04
Number of image 31
Género masculino
Edad -
Misc 1995-1999's case

ID:8208
cambio del color de fondo
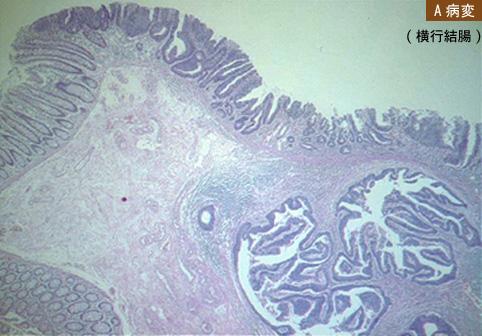
[Image-ID:8208]
clasificación del pacienteTumor Epitelial Maligno/Adenocarcinoma
parte(separada por órganos)colon/transverso
método de exámenMicro
clasificación ectoscópica de tumoresTipo 0(tipo superficial)/Tipo IIa(IIa+IIc)
diámetro mayor del tumor15 - 19
grado de penetraciónsm
múltiples tumores(en un mismo órgano)presente(simultáneo)
múltiples tumores(en varios órganos)ausente



TOP