Gastrointestinal medical image database select language
japaneseenglishchinesekoreaspanish

Contents

Posted by: Tokyo Pref., Centro Nacional de curaciones de Cáncer, Hospital Central y Centro Kyusyu de Curaciones de Cáncerc
fecha de registro 2005/04/19
Number of image 30
Género femenino
Edad -
Misc 1985-1989's case

ID:8258
cambio del color de fondo
[Image-ID:8258]
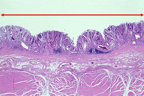
clasificación del pacienteTumor Epitelial Maligno/Adenocarcinoma
parte(separada por órganos)estómago(región)/ángulo
método de exámenMicro
clasificación ectoscópica de tumoresTipo 0(tipo superficial)/Tipo IIc(IIc)
diámetro mayor del tumor25 - 29
grado de penetraciónm
múltiples tumores(en un mismo órgano)ausente
múltiples tumores(en varios órganos)ausente



TOP