Gastrointestinal medical image database select language
japaneseenglishchinesekoreaspanish

Contents

Posted by: Tokyo Pref., Centro Nacional de curaciones de Cáncer, Hospital Central y Centro Kyusyu de Curaciones de Cáncerc
Caso del sistema politíco.
Caso TIC(Conferencia TeleImágen de varios puntos del Tubo Digestivo en conjunto)
fecha de registro 2005/05/17
Number of image 21
Género femenino
Edad 50-54
Misc 1995-1999's case

ID:8327
cambio del color de fondo
[Image-ID:8327]
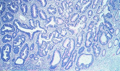
clasificación del pacienteTumor Epitelial Maligno/Adenocarcinoma
parte(separada por órganos)colon/descendente
método de exámenMicro
clasificación ectoscópica de tumoresTipo 0(tipo superficial)/Tipo I(Is)
diámetro mayor del tumor20 - 24
grado de penetraciónm
múltiples tumores(en un mismo órgano)ausente
múltiples tumores(en varios órganos)ausente



TOP