about this MIDB
NEWS
Lista de Enfermedades
TOP
>
Lista de Enfermedade...
>
Cáncer Avanzado del ...
>
Cáncer Avanzado de E...
>
Cáncer Avanzado de E...
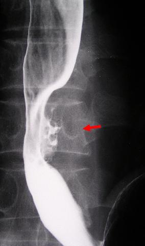
Cáncer avanzado de Esófago tipo 3, que acompañó metastasis en la pared de estómago, a ganglios linfáticos.
Posted by:
Fukuoka Pref., Centro Kyushu de Curaciones de Cáncer
Caso del sistema politíco.
fecha de registro
2005/05/23
Number of image
27
Género
masculino
Edad
65-69
Misc
2000-2004's case
cambio del color de fondo
[Image-ID:8332]
clasificación del paciente
Tumor Epitelial Maligno/Carcinoma a Células Escamosas
parte(separada por órganos)
esófago/inferior
método de exámen
Rayos X
clasificación ectoscópica de tumores
Tipo 3(Tipo ulcerado de bordes infiltrados)/
diámetro mayor del tumor
35 - 40
grado de penetración
s(a)
TOP