Gastrointestinal medical image database select language
japaneseenglishchinesekoreaspanish

Contents

Posted by: Fukuoka Pref., Centro Kyushu de Curaciones de Cáncer
Caso del sistema politíco.
fecha de registro 2005/06/28
Number of image 16
Género femenino
Edad 55-59
Misc 2000-2004's case

ID:8480
cambio del color de fondo
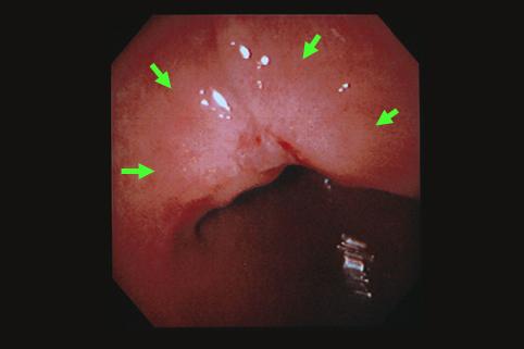
[Image-ID:8480]
clasificación del pacienteTumor Epitelial Maligno/Adenocarcinoma
parte(separada por órganos)estómago(región)/ángulo
método de exámenEndoscopia
clasificación ectoscópica de tumoresTipo 0(tipo superficial)/Tipo IIc(IIc+III)
diámetro mayor del tumor25 - 29
grado de penetraciónm
múltiples tumores(en un mismo órgano)ausente
múltiples tumores(en varios órganos)ausente



TOP