Gastrointestinal medical image database select language
japaneseenglishchinesekoreaspanish

Contents

Posted by: Fukuoka Pref., Centro Kyushu de Curaciones de Cáncer
Caso del sistema politíco.
fecha de registro 2005/10/17
Number of image 16
Género masculino
Edad 55-59
Misc 2000-2004's case

ID:8768
cambio del color de fondo
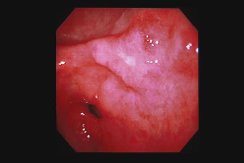
[Image-ID:8768]
clasificación del pacienteTumor Epitelial Maligno/Adenocarcinoma
parte(separada por órganos)estómago(región)/antro
método de exámenEndoscopia
clasificación ectoscópica de tumoresTipo 0(tipo superficial)/Tipo IIc(IIc)
diámetro mayor del tumor15 - 19
grado de penetraciónm
múltiples tumores(en un mismo órgano)ausente
múltiples tumores(en varios órganos)ausente



TOP