Gastrointestinal medical image database select language
japaneseenglishchinesekoreaspanish

Contents

Posted by: Fukuoka Pref., Centro Kyushu de Curaciones de Cáncer
Caso del sistema politíco.
fecha de registro 2005/12/12
Number of image 41
Género masculino
Edad 75-79
Misc 2000-2004's case

ID:8889
cambio del color de fondo
[Image-ID:8889]
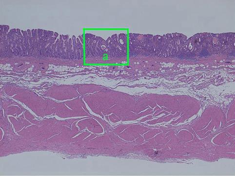
clasificación del pacienteTumor Epitelial Maligno/Adenocarcinoma
parte(separada por órganos)estómago(región)/mas de dos
método de exámenMicro
clasificación ectoscópica de tumoresTipo 0(tipo superficial)/Tipo IIb(IIb+IIa)
diámetro mayor del tumor40 -
grado de penetraciónm
múltiples tumores(en un mismo órgano)ausente
múltiples tumores(en varios órganos)ausente



TOP