Gastrointestinal medical image database select language
japaneseenglishchinesekoreaspanish

Contents

Posted by: Fukuoka Pref., Centro Kyushu de Curaciones de Cáncer
Caso del sistema politíco.
fecha de registro 2006/06/06
Number of image 35
Género masculino
Edad 70-74
Misc 2000-2004's case

ID:9231
cambio del color de fondo
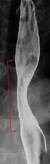
[Image-ID:9231]
clasificación del pacienteTumor Epitelial Maligno/Carcinoma a Células Escamosas
parte(separada por órganos)esófago/medio
método de exámenRayos X
clasificación ectoscópica de tumoresTipo 0(tipo superficial)/Tipo IIc(IIc)
diámetro mayor del tumor40 -
grado de penetraciónm
múltiples tumores(en un mismo órgano)ausente
múltiples tumores(en varios órganos)ausente



TOP