Gastrointestinal medical image database select language
japaneseenglishchinesekoreaspanish

Contents

Posted by: Tokyo Pref., Centro Nacional de curaciones de Cáncer, Hospital Central y Centro Kyusyu de Curaciones de Cáncerc
fecha de registro 2006/11/02
Number of image 12
Género masculino
Edad -
Misc 1990-1994's case

ID:9456
cambio del color de fondo
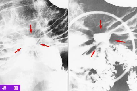
[Image-ID:9456]
clasificación del pacienteTumor Epitelial Maligno/Adenocarcinoma
parte(separada por órganos)estómago(región)/cuerpo
método de exámenRayos X
clasificación ectoscópica de tumoresTipo 0(tipo superficial)/Tipo III(III+IIc)
diámetro mayor del tumor20 - 24
grado de penetraciónm
múltiples tumores(en un mismo órgano)ausente
múltiples tumores(en varios órganos)ausente



TOP