about this MIDB
NEWS
Lista de Enfermedades
TOP
>
Lista de Enfermedade...
>
Cáncer Avanzado del ...
>
Cáncer Avanzado del ...
>
Cáncer Avanzado del ...
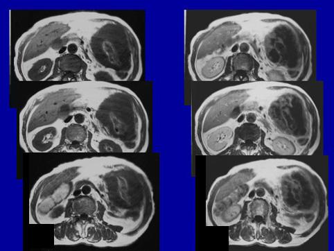
Adenocarcinoma Anaplástico , en que se ve Necrosis en gran escala
Posted by:
Saga Pref., Saga Medical School Faculty of Medicine,Saga University. (Saga Medical School Faculty of Medicine,Saga University. )
Gastrointestinal case conference
fecha de registro
2006/12/08
Number of image
23
Género
masculino
Edad
70-74
cambio del color de fondo
[Image-ID:9638]
clasificación del paciente
Tumor Epitelial Maligno/Adenocarcinoma
parte(separada por órganos)
colon/transverso
método de exámen
TAC
clasificación ectoscópica de tumores
Tipo 3(Tipo ulcerado de bordes infiltrados)/
diámetro mayor del tumor
40 -
grado de penetración
s(a)
múltiples tumores(en un mismo órgano)
ausente
múltiples tumores(en varios órganos)
ausente
TOP