about this MIDB
NEWS
Lista de Enfermedades
TOP
>
Lista de Enfermedade...
>
Tumores aparte del C...
>
Tumores del Colon ap...
>
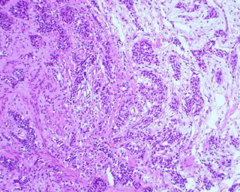
Tumor Carcinoide (Co...
Típico Carcinoide del Colon, con una Depresión Central
Posted by:
Saga Pref., Saga Medical School Faculty of Medicine,Saga University. (Saga Medical School Faculty of Medicine,Saga University.)
Gastrointestinal case conference
fecha de registro
2007/01/09
Number of image
19
Género
masculino
Edad
65-69
cambio del color de fondo
[Image-ID:9707]
clasificación del paciente
Tumor Carcinoide/
parte(separada por órganos)
colon/recto
método de exámen
Micro
diámetro mayor del tumor
15 - 19
TOP