Gastrointestinal medical image database select language
japaneseenglishchinesekoreaspanish

Contents

Posted by: Fukuoka Pref., Centro Kyushu de Curaciones de Cáncer
Caso del sistema politíco.
Gastrointestinal case conference
fecha de registro 2007/02/28
Number of image 21
Género masculino
Edad 70-74
Misc 1995-1999's case

ID:9893
cambio del color de fondo
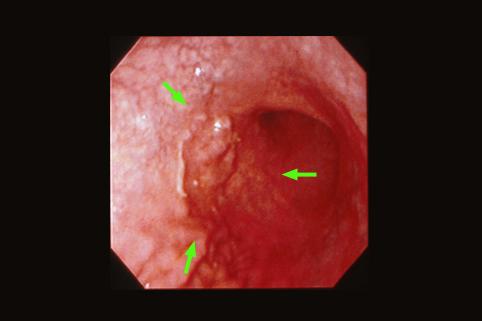
[Image-ID:9893]
clasificación del pacienteTumor Epitelial Maligno/Adenocarcinoma
parte(separada por órganos)estómago(región)/cuerpo
método de exámenEndoscopia
clasificación ectoscópica de tumoresTipo 0(tipo superficial)/Tipo IIa(IIa)
diámetro mayor del tumor15 - 19
grado de penetraciónsm
múltiples tumores(en un mismo órgano)ausente
múltiples tumores(en varios órganos)ausente



TOP