Gastrointestinal medical image database select language
japaneseenglishchinesekoreaspanish

Contents

Posted by: Tokyo Pref., 국림암센터 중앙병원과 큐슈암센터의 공동작성
등록일 2007/06/22
화상 19
성별 여성
연령 40-44
Misc 1990-1994

ID:10097
배경색 변경
[Image-ID:10097]
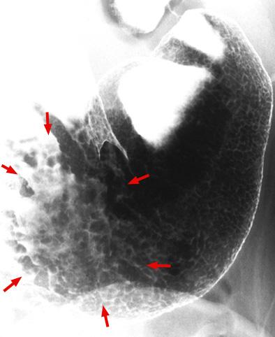
질환(병리주체)의 분류 악성 상피성종양/인환세포암
부위(장기별) 위(부위)/체부
검사방법 X-P
종양의 육안분류 0형(표재형)/IIc형(IIc)
종양의 최대경(밀리미터) 35~40
종양의 심달도 m
다발종양(동일 장기)
다중종양(다수의 장기)



TOP