Gastrointestinal medical image database select language
japaneseenglishchinesekoreaspanish

Contents

Posted by: Fukuoka Pref., 큐슈암센터
등록일 2008/04/14
화상 24
성별 남성
연령 70-74
Misc 1995-1999

ID:10457
배경색 변경
[Image-ID:10457]
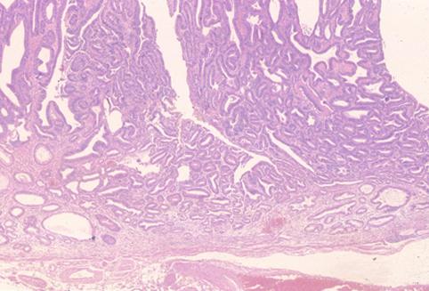
질환(병리주체)의 분류 악성 상피성종양/선암
부위(장기별) 위(부위)/전정
검사방법 마이크로
종양의 육안분류 0형(표재형)/I형(I)
종양의 최대경(밀리미터) 15~19
종양의 심달도 m
다발종양(동일 장기)
다중종양(다수의 장기)



TOP