Gastrointestinal medical image database select language
japaneseenglishchinesekoreaspanish

Contents

Posted by: Fukuoka Pref., KKR Hamanomachi General Hospital (KKR Hamanomachi General Hospital )
Gastrointestinal case conference
등록일 2009/08/03
화상 24
성별 여성
연령 25-29
Misc 2005-2009

ID:11070
배경색 변경
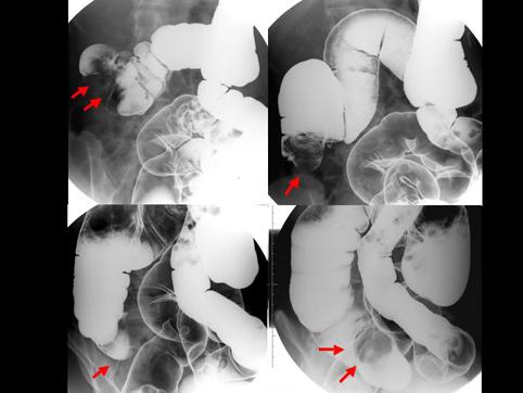
[Image-ID:11070]
질환(병리주체)의 분류 악성 림프계종양/악성 림프종
부위(장기별) 소장/회장
검사방법 X-P
종양의 육안분류 1형(종괴형)/
종양의 최대경(밀리미터) 35~40
다발종양(동일 장기)
다중종양(다수의 장기)



TOP