Gastrointestinal medical image database select language
japaneseenglishchinesekoreaspanish

Contents

Posted by: Fukuoka Pref., 큐슈암센터
등록일 2009/10/29
화상 27
성별 남성
연령 65-69
Misc 2000-2004

ID:11203
배경색 변경
[Image-ID:11203]
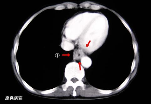
질환(병리주체)의 분류 악성 상피성종양/편평상피암
부위(장기별) 식도/하
검사방법 CT
종양의 육안분류 3형(궤양침윤형)/
종양의 최대경(밀리미터) 35~40
종양의 심달도 s(a)
다발종양(동일 장기)
다중종양(다수의 장기)



TOP