about MIDB
news
질환의 일람
TOP
>
질환의 일람
>
암 이외의 종양 (악성과 양성)
>
암 이외의 위의 종양
>
악성 비상피성 평활근육종(위)
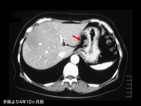
A case of gastrointestinal stromal tumor that extraluminally developed in size during four years and ten months.
Posted by:
Fukuoka Pref., 큐슈암센터
등록일
2010/01/12
화상
32
성별
여성
연령
70-74
Misc
2005-2009
배경색 변경
[Image-ID:11341]
질환(병리주체)의 분류
악성 비상피성종양/평활근육종
부위(장기별)
위(부위)/체부
검사방법
CT
종양의 최대경(밀리미터)
1~9
TOP