about MIDB
news
질환의 일람
TOP
>
질환의 일람
>
암 이외의 종양 (악성과 양성)
>
암 이외의 소장의 종양
>
카시노이드종양 (소장)
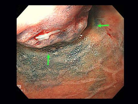
A case of carcinoid tumor which developed in the duodenal bulb.
Posted by:
Fukuoka Pref., KYUSHU UNIVERSITY HOSPITAL (KYUSHU UNIVERSITY HOSPITAL )
Gastrointestinal case conference
등록일
2010/06/08
화상
19
성별
여성
연령
55-59
Misc
2005-2009
배경색 변경
[Image-ID:11490]
질환(병리주체)의 분류
카시노이드종양/
부위(장기별)
십이지장/구부
검사방법
내시경
종양의 육안분류
1형(종괴형)/
종양의 최대경(밀리미터)
15~19
TOP