about MIDB
news
질환의 일람
TOP
>
질환의 일람
>
종양양 병변 연소성 용종
>
腫瘍様病変 過形成ポリープ
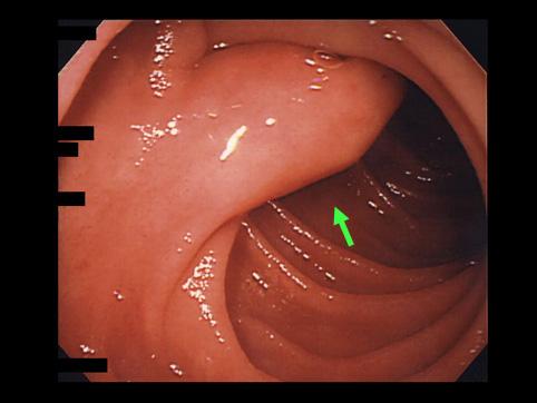
A case of duodenal Brunner's gland hyperplastic polyp which was removed by an endoscopic polypectomy.
Posted by:
Fukuoka Pref., KYUSHU UNIVERSITY HOSPITAL (KYUSHU UNIVERSITY HOSPITAL)
Gastrointestinal case conference
등록일
2010/07/28
화상
8
성별
-
연령
-
배경색 변경
[Image-ID:11514]
질환(병리주체)의 분류
종양양 병변/과형성 용종
부위(장기별)
십이지장/하행각
검사방법
내시경
종양의 육안분류
0형(표재형)/I형(Ip)
종양의 최대경(밀리미터)
15~19
TOP