about MIDB
news
질환의 일람
TOP
>
질환의 일람
>
암 이외의 종양 (악성과 양성)
>
암 이외의 대장의 종양
>
양성 비상피성종양 지방종 (대장)
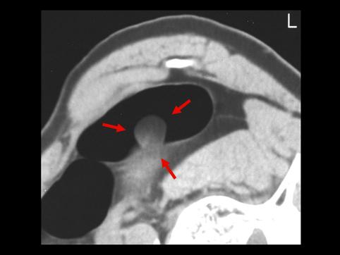
A case of colonic lipoma which was diagnosed by multidisciplinary method.
Posted by:
Fukuoka Pref., KYUSHU UNIVERSITY HOSPITAL (KYUSHU UNIVERSITY HOSPITAL)
Gastrointestinal case conference
등록일
2010/09/13
화상
9
성별
-
연령
-
배경색 변경
[Image-ID:11535]
질환(병리주체)의 분류
양성 비상피성종양/지방종
부위(장기별)
대장/하행
검사방법
X-P
종양의 최대경(밀리미터)
20~24
다발종양(동일 장기)
무
다중종양(다수의 장기)
무
TOP