about MIDB
news
질환의 일람
TOP
>
질환의 일람
>
종양으로 오해받기 쉬운 염증성이나 비...
>
장(대장과 소장)의 염증성 질환과 병...
>
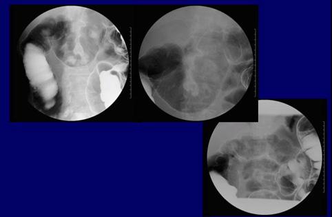
정맥경화성 대장염
A case of idiopathic mesenteric phlebosclerosis (phlebosclerotic colitis).
Posted by:
Fukuoka Pref., 큐슈의료센터 (放射線科、宮田景子先生、平賀聖久先生、村中光先生からの提供症例)
등록일
2010/12/25
화상
22
성별
남성
연령
60-64
배경색 변경
[Image-ID:11549]
질환(병리주체)의 분류
염증성 및 궤양성질환/정맥경화성 대장염
부위(장기별)
대장/2구역 이상의 대장에 걸치는 것
검사방법
X-P
TOP