about MIDB
news
질환의 일람
TOP
>
질환의 일람
>
종양양 병변 연소성 용종
>
대장의 종양양 병변 근접장기로부터의 ...
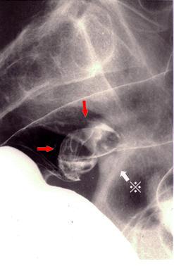
난소의 기형종이 직장의 점막면을 압박하여、천파한 대장의 종양양 병변
Posted by:
Tokyo Pref., 국림암센터 중앙병원과 큐슈암센터의 공동작성
TIC 증상예(다지역 합동소화기관 텔리 이미지 협의회)
등록일
1999/01/01
화상
12
성별
여성
연령
55-59
배경색 변경
[Image-ID:1209]
질환(병리주체)의 분류
종양양 병변/근접장기로부터의 침윤
부위(장기별)
대장/직장
검사방법
X-P
종양의 최대경(밀리미터)
30~34
다발종양(동일 장기)
무
다중종양(다수의 장기)
무
TOP