Gastrointestinal medical image database select language
japaneseenglishchinesekoreaspanish

Contents

Posted by: Tokyo Pref., 국림암센터 중앙병원과 큐슈암센터의 공동작성
TIC 증상예(다지역 합동소화기관 텔리 이미지 협의회)
등록일 2000/03/03
화상 19
성별 여성
연령 50-54

ID:1445
배경색 변경
[Image-ID:1445]
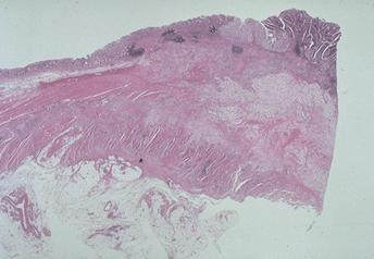
질환(병리주체)의 분류 악성 상피성종양/인환세포암
부위(장기별) 대장/직장
검사방법 마이크로
종양의 육안분류 3형(궤양침윤형)/
종양의 최대경(밀리미터) 35~40
종양의 심달도 s(a)
다발종양(동일 장기)
다중종양(다수의 장기)



TOP