about MIDB
news
질환의 일람
TOP
>
질환의 일람
>
소화관 용종증 및 관련질환과 병변
>
질환명으로서의 소화관 용종증
>
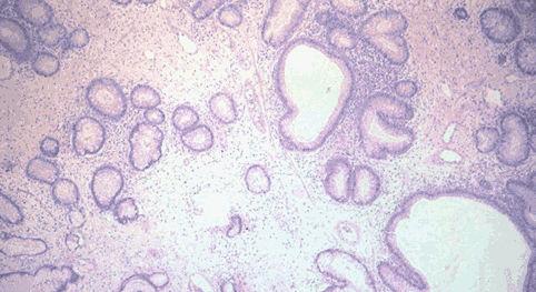
Cronkhite-Canada증후군
빈혈과 저단백혈증을 동반한 Cronkhite-Canada증후군
Posted by:
Tokyo Pref., 국림암센터 중앙병원과 큐슈암센터의 공동작성
TIC 증상예(다지역 합동소화기관 텔리 이미지 협의회)
등록일
1999/01/01
화상
28
성별
여성
연령
55-59
배경색 변경
[Image-ID:200]
Now translating.
질환(병리주체)의 분류
종양양 병변/Cronkhite-Canada증후군
부위(장기별)
위(부위)/기타
검사방법
마이크로
TOP