Gastrointestinal medical image database select language
japaneseenglishchinesekoreaspanish

Contents

Posted by: Tokyo Pref., 국림암센터 중앙병원과 큐슈암센터의 공동작성
TIC 증상예(다지역 합동소화기관 텔리 이미지 협의회)
등록일 2001/03/19
화상 29
성별 여성
연령 -

ID:2306
배경색 변경
[Image-ID:2306]
Now translating.
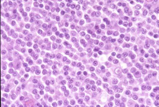
질환(병리주체)의 분류 악성 림프계종양/악성 림프종
부위(장기별) 위(부위)/기타
검사방법 마이크로
종양의 육안분류 1형(종괴형)/
종양의 최대경(밀리미터) 40이상
종양의 심달도 mp
다발종양(동일 장기) 유(동시성)
다중종양(다수의 장기)



TOP