about MIDB
news
질환의 일람
TOP
>
질환의 일람
>
암 이외의 종양 (악성과 양성)
>
암 이외의 위의 종양
>
위의"융모종양"(Villous tum...
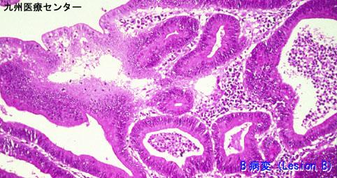
십이지장 선종을 동반한 위의 융모종양(증례제시:국립병원 큐슈우 의료센터)
Posted by:
Fukuoka Pref., 큐슈의료센터
정책넷트웍증상예.
등록일
2002/02/25
화상
16
성별
남성
연령
65-69
배경색 변경
[Image-ID:3145]
질환(병리주체)의 분류
양성 상피성종양/선종
부위(장기별)
십이지장/하행각
검사방법
마이크로
종양의 최대경(밀리미터)
15~19
TOP