Gastrointestinal medical image database select language
japaneseenglishchinesekoreaspanish

Contents

Posted by: Fukuoka Pref., 큐슈의료센터
정책넷트웍증상예.
등록일 2002/02/28
화상 18
성별 여성
연령 45-49

ID:3158
배경색 변경
[Image-ID:3158]
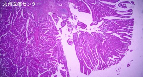
질환(병리주체)의 분류 악성 상피성종양/선암
부위(장기별) 십이지장/하행각
검사방법 마이크로
종양의 육안분류 0형(표재형)/I형(Ip)
종양의 최대경(밀리미터) 25~29
종양의 심달도 sm
다발종양(동일 장기)
다중종양(다수의 장기) 유(이시성)



TOP