about MIDB
news
질환의 일람
TOP
>
질환의 일람
>
종양으로 오해받기 쉬운 염증성이나 비...
>
장(대장과 소장)의 염증성 질환과 병...
>
허혈성 대장염
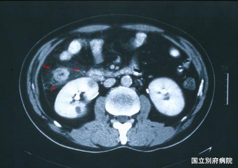
대장암과의 감별이 어려웠던 호산구증다증에 동반하는 허혈성 대방염(증례제시:국립 벳부병원)
Posted by:
Oita Pref., 벳푸의료센터
정책넷트웍증상예.
등록일
2002/03/04
화상
16
성별
남성
연령
55-59
배경색 변경
[Image-ID:3171]
질환(병리주체)의 분류
염증성 및 궤양성질환/허혈성 장염(혈전증 포함)
부위(장기별)
대장/상행
검사방법
CT
종양의 최대경(밀리미터)
40이상
TOP