about MIDB
news
질환의 일람
TOP
>
질환의 일람
>
소화관의 조기암
>
조기 식도암
>
조기 식도암 기타
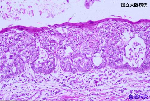
진행암과 동시성으로 발견된 표재형의 식도 유기저세포암 (증례제시:국립 오사카병원)
Posted by:
Osaka Pref., 오사카의료센터
정책넷트웍증상예.
등록일
2002/04/04
화상
8
성별
남성
연령
55-59
배경색 변경
[Image-ID:3290]
질환(병리주체)의 분류
악성 상피성종양/류기저세포암
부위(장기별)
식도/하
검사방법
마이크로
종양의 육안분류
0형(표재형)/기타
종양의 최대경(밀리미터)
40이상
종양의 심달도
mm
다발종양(동일 장기)
무
다중종양(다수의 장기)
유(동시성)
TOP