about MIDB
news
질환의 일람
TOP
>
질환의 일람
>
종양으로 오해받기 쉬운 염증성이나 비...
>
위의 염증성 질환과 병변
>
위의 염증성 질환 기타
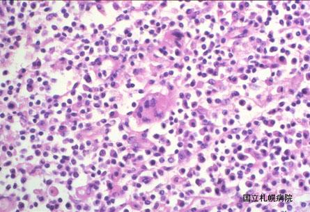
위점막하종양의 형태를 보이고 수술전 진단이 곤란했던 염증성 종괴의 일례 (증례제시:국립 삿포로병원)
Posted by:
Hokkaido Pref., 홋카이도암센터
정책넷트웍증상예.
등록일
2002/04/22
화상
18
성별
여성
연령
45-49
배경색 변경
[Image-ID:3344]
Now translating.
질환(병리주체)의 분류
염증성 및 궤양성질환/기타
부위(장기별)
위(부위)/체부
검사방법
마이크로
종양의 최대경(밀리미터)
40이상
다발종양(동일 장기)
무
다중종양(다수의 장기)
무
TOP