about MIDB
news
질환의 일람
TOP
>
질환의 일람
>
종양으로 오해받기 쉬운 염증성이나 비...
>
장(대장과 소장)의 염증성 질환과 병...
>
허혈성 대장염
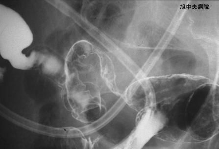
일레우스 증상을 보인 허혈성 소장염의 수술예 (증례제시:치바현 아사히시 아사히중앙병원)
Posted by:
Chiba Pref., National Asahi Central Hospital (National Asahi Central Hospital)
등록일
2002/06/27
화상
19
성별
남성
연령
70-74
배경색 변경
[Image-ID:3472]
질환(병리주체)의 분류
염증성 및 궤양성질환/허혈성 장염(혈전증 포함)
부위(장기별)
소장/회장
검사방법
X-P
종양의 최대경(밀리미터)
40이상
TOP