about MIDB
news
질환의 일람
TOP
>
질환의 일람
>
암 이외의 종양 (악성과 양성)
>
암 이외의 위의 종양
>
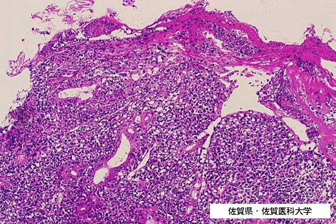
위의 성인병 T세포백혈병(ATL)
위와 대장에 다발병변을 보인 성인T세포 백혈병(ATL) (증례제시:사가의과대학、Dr.미즈구치)
Posted by:
Saga Pref., Saga Medical School (Saga Medical School)
Gastrointestinal case conference
등록일
2002/08/05
화상
28
성별
여성
연령
45-49
배경색 변경
[Image-ID:3667]
질환(병리주체)의 분류
악성 림프계종양 및 혈액계종양/ATL(성인 T세포백혈병)
부위(장기별)
위(부위)/기타
검사방법
마이크로
다발종양(동일 장기)
유(동시성)
다중종양(다수의 장기)
유(동시성)
TOP